Сучасна ортодонтія постійно розвивається, пропонуючи пацієнтам нові методи корекції прикусу та вирівнювання зубів. Одним із таких методів стали елайнери — прозорі ортодонтичні капи, які поступово змінюють положення зубів без використання класичних металевих конструкцій. За останні роки цей підхід набув значної популярності завдяки поєднанню ефективності, естетики та комфорту.
Елайнери являють собою індивідуально виготовлені прозорі капи, що щільно прилягають до зубів. Кожна капа створюється з урахуванням конкретного етапу лікування і здійснює контрольований тиск на зуби, поступово переміщуючи їх у правильне положення. Коли один етап завершується, пацієнт переходить до наступної капи, яка продовжує корекцію відповідно до запланованого плану лікування.
Процес лікування елайнерами починається з детальної діагностики. Лікар проводить огляд, аналіз прикусу, фотопротокол і цифрове 3D-сканування зубів. На основі отриманих даних створюється комп’ютерна модель, яка дозволяє спланувати рух кожного зуба. Саме на цьому етапі формується повна стратегія лікування, включаючи кількість елайнерів і приблизну тривалість процесу.
Однією з ключових переваг елайнерів є можливість побачити прогнозований результат ще до початку лікування. За допомогою цифрового моделювання пацієнт може оцінити, як змінюватиметься положення зубів на різних етапах. Це робить лікування більш зрозумілим і дозволяє сформувати реалістичні очікування.
На відміну від брекет-систем, елайнери є знімними. Це означає, що пацієнт може знімати їх під час прийому їжі та гігієнічних процедур. Такий підхід значно спрощує догляд за зубами і дозволяє уникнути багатьох обмежень, характерних для фіксованих ортодонтичних систем.
Водночас ефективність лікування значною мірою залежить від дисципліни пацієнта. Для досягнення запланованого результату елайнери потрібно носити більшу частину доби, зазвичай не менше двадцяти годин на день. Регулярна заміна кап відповідно до графіку та контрольні огляди у лікаря є важливими складовими успішного лікування.

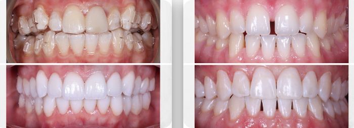
Елайнери можуть використовуватися для вирішення різних ортодонтичних проблем. До них належать скупченість зубів, проміжки між зубами, неправильний прикус та інші порушення. У багатьох випадках цей метод дозволяє досягти результату, який раніше вимагав використання традиційних брекетів.
Важливою особливістю є комфорт під час носіння. Оскільки елайнери виготовляються з гладкого полімерного матеріалу, вони не мають гострих елементів, які можуть подразнювати слизову оболонку. Більшість пацієнтів відзначають швидку адаптацію і мінімальний дискомфорт у процесі лікування.
Ще одним важливим аспектом є естетика. Прозорі капи практично непомітні під час розмови або посмішки, що робить цей метод особливо популярним серед дорослих пацієнтів. Люди можуть проходити ортодонтичне лікування без значного впливу на зовнішній вигляд і повсякденне життя.
Після завершення активного етапу лікування важливим є період ретенції. Він дозволяє закріпити отриманий результат і запобігти поверненню зубів у попереднє положення. Для цього використовуються спеціальні ретейнери або підтримувальні капи, які допомагають стабілізувати нове положення зубів.
https://perlynaclinic.com/elaynery-ternopil/